[{{{type}}}] {{{reason}}}
{{/data.error.root_cause}}{{{_source.displayDate}}}
{{/_source.showDate}}{{{_source.description}}}
{{#_source.additionalInfo}}{{#_source.additionalFields}} {{#title}} {{{label}}}: {{{title}}} {{/title}} {{/_source.additionalFields}}
{{/_source.additionalInfo}}La Babesiosi o Piroplasmosi canina è una malattia causata da protozoi parassiti intraeritocitari appartenenti al phylum Apicomplexa, ordine Piroplasmidae, generi Babesia e Theileria. I microorganismi appartenenti a questi due generi vengono generalmente definiti piroplasmi per via della forma a fiamma che mostrano nella loro vita intracellulare. La loro trasmissione è mediata da alcune specie di zecch come Ixodes spp., Rhipicephalus spp. e Dermacentor spp. Le specie di maggiore interesse e significato patogeno sono, per il genere Babesia, Babesia canis (con le sottospecie: B. canis canis, B. canis vogeli, B. canis rossi), definite anche “grandi Babesie”, e B. gibsoni come “piccola Babesia”.
Le grandi Babesie (B. canis sensu latu complex) e le piccole Babesie (B. gibsoni) vengono differenziate in base delle loro dimensioni all'interno degli eritrociti. I protozoi del complesso B. canis presentano maggiori dimensioni (2 x 5 micron nella fase intraeritrocitaria, occupando più di metà dell’eritrocita). Babesia gibsoni è più piccola (1 x 3 micron; il più delle volte meno di un ottavo del diametro dell'emazia) e appare in forma di corpuscoli singoli, circolari od ovali, all'interno degli eritrociti. Nelle fasi iperacute della malattia la moltiplicazione del parassita è molto rapida e nei singoli eritrociti sono facilmente visibili molteplici Babesie. Il complesso B. canis è composto da tre sottospecie principali, dotate di diverse caratteristiche filogenetiche - molecolari, sierologiche e di specificità vettoriale, caratterizzate da un differente potere patogeno. Babesia canis rossi è la sottospecie prevalente in Sud Africa e causa un quadro clinico grave. B. canis canis è l'agente eziologico prevalente in Europa, caratterizzato da una ridotta patogenicità pur mantenendo la capacità di dare origine a manifestazioni severe. B. canis vogeli è diffusa nel sud dell'Europa e nelle zone tropicali e subtropicali di tutto il mondo, ed è causa, generalmente, di forme cliniche lievi o asintomatiche. In Italia, B. canis canis e B. canis vogeli sono state ad oggi le principali sottospecie responsabili di infezioni da grandi Babesie (Fig. 1).
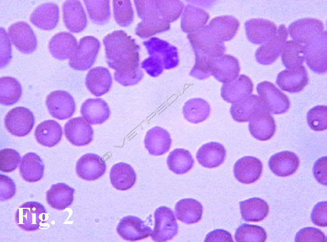
Per quanto riguarda le piccole Babesie, B. gibsoni è dotata di elevato potere patogeno ed è presente in Africa, Asia, USA, Sud-Est Europa e Australia ed è stata segnalata anche in Italia. Studi molecolari hanno individuato l'esistenza di nuove specie di piccole Babesie nel cane oltre a B. gibsoni; una di queste, isolata nella penisola iberica, sembra essere geneticamente sovrapponibile a B. microti, specie presente nei roditori, che può occasionalmente infettare l'uomo e viene denominata Theileria annae (Fig. 2).
La Babesiosi, come altre tick-borne diseases, presenta una distribuzione geografica a macchia di leopardo. La prevalenza nelle aree endemiche può raggiungere il 59%. Fortunatamente, le specie responsabili della piroplasmosi canina non sono responsabili di malattia nell'uomo. In USA, B. microti è l'agente eziologico più comune della Babesiosi umana mentre B. divergens, trasmessa da zecche del genere Ixodes, causa una forma di piroplasmosi nel bovino e nella specie umana in alcune parti dell'Europa (Fig. 3).
Zecche dure ascrivibili a differenti generi (Rhipicephalus, Ixodes, Haemaphysalis, Dermacentor) e conseguentemente dotate di diverse caratteristiche biologiche ed ecologiche, sono considerate vettori di questa malattia; l'importanza di tali artropodi varia in base alla zona geografica d'interesse. In Europa le specie principali di zecche coinvolte nella trasmissione della babesiosi sono, Dermacentor reticulatus, Dermacentor marginatus, Rhipicephalus sanguineus (Figg. 4a, 4b1, 4b2 e 4c) e probabilmente Ixodes hexagonus .
Rhipicephalus sanguineus sembra essere il principale vettore di Babesia nel sud dell'Europa, nel sud degli USA, in America Latina e in Australia, pur avendo distribuzione globale. In est e centro Europa il principale vettore della piroplasmosi è rappresentato da zecche appartenenti al genere Dermacentor, specialmente D. reticulatus. La trasmissione dei piroplasmi tra le zecche può avvenire sia per via trans-stadiale (Rhipicephalus sp.), in cui l'infezione viene trasferita da uno stadio biologico a quello successivo, sia per via trans-ovarica (Rhipicephalus spp. e Dermacentor spp.), dove il protozoo viene trasmesso attraverso le uova. Di conseguenza adulti e ninfe del genere Rhipicephalus possono rimanere infetti dopo il pasto di sangue effettuato negli stadi precedenti (ninfe e larve) su cani parassitati; mentre, per il genere Dermacentor, la trasmissione avviene soprattutto per via trans-ovarica, in quanto difficilmente le larve e le ninfe di questa specie effettuano pasti di sangue sui cani (schema sottostante).
Come schematicamente illustrato, in caso di trasmissione trans-ovarica, da una singola femmina infetta si possono generare migliaia di zecche potenzialmente infettanti. Un’altra possibile via di trasmissione, non vettoriale, è data dagli scambi di sangue, come nel caso di trasfusioni.
| Dimensioni | Specie | Sinonimo | Vettore | Distribuzione geografica | Particolarità |
| Grande | Babesia vogeli | Babesia canis vogeli | Rhipicephalus sanguineus | Ampia distribuzione; regioni tropicali, subtropicali e mediterranee | |
| Grande | Babesia canis | Babesia canis canis | Dermacentor spp. | Europa | |
| Grande | Babesia rossi | Babesia canis rossi | Haemaphysalis elliptica | Africa Sub-Sahariana, Sud Africa | |
| Grande | Babesia sp. | Specie senza nome isolata in Carolina, USA | Sconosciuto | North Carolina, USA | |
| Piccola | Babesia gibsoni | Babesia gibsoni Asia strain | Haemaphysalis longicornis | Asia, Giappone, sporadicamente in altre parti del mondo | Fuori dall'Asia l'infezione è spesso associata ai cani da combattimento |
| Piccola | Theileria annae | Babesia microti-like | Ixodes hexagonus (presunta) | Spagna e Portogallo | |
| Piccola | Theileria sp. | Specie senza nome di Theileria isolata in Sud Africa | Sconosciuto | Sud Africa | Solo riscontro molecolare |
| Piccola | Theileria annulata | Sconosciuto | Africa, Europa, Asia | Solo riscontro molecolare |
Tab. 1. Babesie (Piroplasmi) del cane. (Da: Irwin P. Parasites & Vectors 2009 2 (Suppl 1):S4; doi:10.1186/1756-3305-2-S1-S4, modificato.)
PATOGENESI
Le Babesie raggiungono il torrente ematico, sotto forma di sporozoiti, mentre gli artropodi vettori compiono il pasto di sangue sul loro ospite. Una volta raggiunto il torrente circolatorio, il parassita aderisce agli eritrociti, viene internalizzato nella cellula tramite endocitosi, matura e quindi dà inizio alla fase di riproduzione asessuata originando molteplici forme intermedie chiamate merozoiti. Infine, l'eritrocita si rompe e rilascia tali merozoiti nel circolo, pronti a invadere nuovi eritrociti e replicarsi.
L'anemia emolitica è il meccanismo patogenetico principale in corso di piroplasmosi,spesso caratterizzata da un andamento progressivo. L'emolisi deriva dal danno diretto causato dalla replicazione intracellulare del parassita (emolisi intravascolare), da danni ossidativi al globulo rosso (nel caso delle piccole Babesie) e da meccanismi immunomediati come l'eritrofagocitosi e l'opsonizzazione dei globuli rossi da parte di anticorpi anti-eritrocitari. La milza è il principale organo coinvolto nello smaltimento dei globuli rossi danneggiati e dell'eliminazione di quelli opsoninizzati attraverso l'azione del sistema reticolo-endoteliale (emolisi extra-vasale); di conseguenza, in corso di piroplasmosi, si può avere splenomegalia. Nei cani infetti può presentarsi auto-agglutinazione degli eritrociti e positività al test di Coomb; in alcuni casi, inoltre, si può osservare anche trombocitopenia.
Le Babesie causano vasodilatazione periferica con richiamo di fluidi dal comparto extracellulare ed aggravamento conseguente dell’anemia (emodiluizione). I bassi livelli di ossigenazione ematica conseguenti alla deplezione dei globuli rossi contribuiscono alla patogenesi della Babesiosi.
I ceppi dotati di maggiore patogenicità (B. canis rossi) possono causare insufficienze multiorgano (fegato e reni), shock, coagulazione intravasale disseminata (DIC) associati a un quadro di sindrome da risposta infiammatoria sistemica (SIRS). I cuccioli sono generalmente più sensibili all'infezione, presentando maggiore rischio di sviluppare gravi quadri sintomatologici. I cani che guariscono clinicamente possono rimanere portatori di Babesia per mesi e potenzialmente per tutta la vita, anche dopo adeguato trattamento chemioterapico. Questi animali, pur apparendo sani (se non sottoposti a forti stress), costituiscono comunque un reservoir del patogeno, estendendo il rischio di trasmissione ad altri cani sensibili. Il quadro clinico può essere complicato da infezioni concomitanti con altri patogeni trasmessi dagli stessi vettori come Ehrlichia canis. I cani co-infettati possono presentare quadri di anemia emolitica complicati da emorragie, conseguente alla marcata trombocitopenia che ha luogo nell’Ehrlichiosi monocitica canina (CME). Sono state documentate inoltre co-infezioni con batteri del genere Bartonella e Rickettsia.
SINTOMATOLOGIA
Mentre la patogenicità di B. gibsoni (piccole Babesie) è costantemente elevata, nel caso del complesso B. canis sensu latu (grandi Babesie) vi sono notevoli variazioni di potere patogeno tra i vari ceppi. B. canis rossi causa una malattia sempre grave; B. canis canis ha un carattere patogenetico variabile; B canis vogeli dà origine a forme moderate e spesso subcliniche o clinicamente evidenti solo nei cuccioli. Ovviamente, la gravità del quadro clinico è influenzata da fattori quali l'età, lo stato immunitario, la predisposizione genetica, eventuali coinfezioni o reinfezioni.
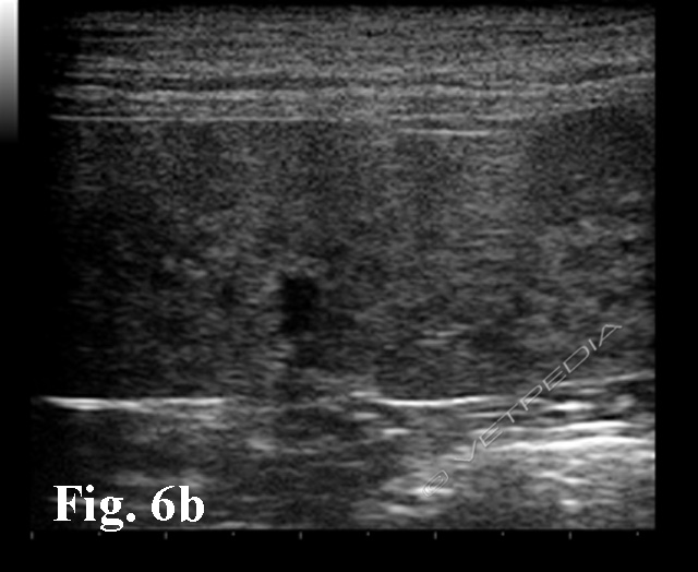
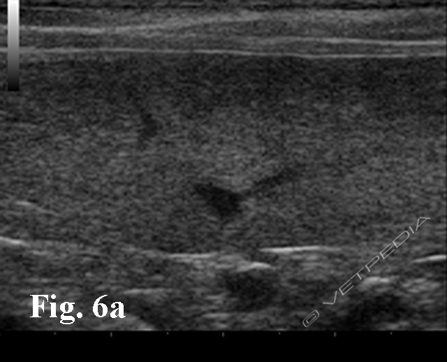
La durata del periodo di incubazione è altamente variabile in base al ceppo e alla specie interessata (generalmente da una a tre settimane). Occasionalmente possono verificarsi forme iperacute caratterizzate da tempi d’incubazione più brevi. I sintomi precoci della malattia sono febbre e disoressia cui seguono perdita di peso, anemia, trombocitopenia, splenomegalia, ittero, e soprattutto emoglobinuria, seguite da mialgie e talvolta dolore alla palpazione della loggia renale (segno del Giordano positivo) per l’effetto nefrotossico dell’emoglobina sui tubuli renali (Figg. 5, 6a e 6b; Video).
Più raramente possono insorgere vomito, sincope, rapido affaticamento, edemi, ascite, emorragie su cute e mucose, fino a possibili disordini neurologici (specialmente nel caso di B. canis rossi). Oltre alla forma acuta, la Babesiosi canina si può presentare frequentemente nella forma cronica con moderata ipertermia, perdita di peso, letargia, sintomi da nefropatia e pneumopatia. Nelle zone dove la malattia è endemica è possibile riscontrare cani che manifestano esclusivamente anoressia e astenia.
DIAGNOSI
Il sospetto diagnostico di Babesiosi canina deve insorgere in presenza di una passata esposizione del cane alle punture di zecche, associata ad uno o più sintomi caratteristici, quali febbre, anemia, emoglobinuria e splenomegalia. La microscopia ottica rimane la metodica più semplice e più accessibile per diagnosticare l’infezione da Babesia. Durante le fasi acute della malattia, la ricerca microscopica risulta abbastanza sensibile nell'individuare i parassiti intra-eritrocitari da strisci di sangue periferico colorati con Giemsa o con le colorazioni di Wright modificate (Romanovsky rapide). Anche la differenziazione tra piccole e grandi Babesie è relativamente semplice mediante osservazione microscopica.
Generalmente, il prelievo di sangue dal letto capillare (padiglione auricolare; unghie) o l'esame delle cellule all'interno del buffy coat di un capillare da ematocrito possono risultare più sensibili rispetto ad altri siti di prelievo.
Purtroppo, le alterazioni ematiche in corso di piroplasmosi non sono specifiche. Gli esami di laboratorio possono evidenziare anemia, trombocitopenia, ipoalbuminemia, iperbilurubinemia e bilirubinuria.
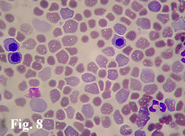
L’anemia, inizialmente normocitica e normocromica e non rigenerativa, tende ad evolvere in anemia macrocitica ipocromica con aspetti fortemente rigenerativi e reticolocitosi (Figg. 7 e 8).
In ogni caso, in presenza di anemia emolitica e trombocitopenia, la babesiosi va sempre essere considerata in diagnosi differenziale. È possibile utilizzare test sierologici (IFAT; ELISA; Dot-ELISA) come anche analisi biomolecolari (PCR). La ricerca degli anticorpi contro i piroplasmi non è considerata utile durante le fasi acute dell'infezione e non permette di differenziare le varie specie di Babesia a causa dell'estensiva cross-reattività antigenica presente tra le stesse. False negatività sierologiche possono presentarsi nel caso in cui l'andamento acuto della parassitosi preceda lo sviluppo della risposta anticorpale. I test sierologici risultano invece più affidabili nella diagnosi di forme sub-acute o croniche, specialmente nei casi in cui non possibile riscontrare i parassiti alla microscopica.
TERAPIA
Il trattamento chemioterapico della babesiosi è efficace per quanto concerne la guarigione clinica e nel limitare la mortalità della malattia, ma non garantisce sempre l'eliminazione di tutti protozoi presenti nell'organismo (guarigione parassitologica). Due iniezioni di imidocarb diproprionato ad un dosaggio di 5-6 mg/kg sottocute o intramuscolo, ad una distanza di due settimane tra loro, sono ritenute efficaci nel controllare l'infezione. In alternativa è possibile effettuare una singola iniezione intramuscolo di dimenazene aceturato a un dosaggio di 3,5-7 mg/kg, anche in associazione con la clindamicina per via orale (12,5 mg/Kg ogni 12 ore). Un'adeguata terapia di supporto (fluidoterapia endovenosa; trasfusione di sangue o succedanei del plasma) va adottata in base alle necessità del caso.
Nel caso di forme complicate con comparsa di shock è consigliato l'uso di fenamidina isetionato (15-20 mg/kg per via sottocutanea, si raccomanda una seconda somministrazione a distanza di 48 ore). L’utilizzo della pentamidina per via intramuscolare (16,5 mg/kg, singola somministrazione o doppia a distanza di 24 ore) ha fatto registrare effetti collaterali come vomito e ipotensione, così come dolore e irritazione nel sito di iniezione. L’atovaquone (13 mg/kg per via orale ogni 8 ore per 10 giorni) ha rivelato alta efficacia anche in associazione con l’azitromicina (10 mg/kg per via orale ogni 24 ore per 10 giorni). Due somministrazioni intramuscolari di buparvaquone (5mg/kg a distanza di 48 ore) hanno dimostrato elevata efficacia sempre in associazione all’azitromicina. È buona norma avvertire i proprietari che i cani guariti dalla piroplasmosi possono rimanere infetti, acquisendo uno stato di premunizione, e che la sintomatologia può ripresentarsi in caso di riduzione delle difese immunitarie, o più raramente in modo ciclico nel periodo primaverile. Tali cani non dovrebbero essere di conseguenza mai usati come donatori di sangue.
PROFILASSI
Attualmente non è ancora presente un vaccino commerciale capace di proteggere completamente i cani dalla malattia, inoltre i vaccini non sono registrai per l’uso veterinario in tutti i paesi europei. Le formulazioni vaccinali presenti in commercio basate sugli esoantigeni plasmatici solubili (SPA) di Babesia possono limitare i sintomi clinici dell'infezione bloccando l'inizio di molti processi patologici coinvolti nella patogenesi della babesiosi e possono contribuire a ridurre la parassitemia. Il livello di protezione è fortemente influenzato dalla specie, inoltre nelle aree altamente endemiche, è bene effettuare una seconda dose di vaccino dopo 6 mesi dalla prima somministrazione. È importante considerare che numerosi effetti indesiderati sono stati registrati dopo la prima e la seconda somministrazione.La chemioprofilassi ectoparassiticida è fondamentale nel prevenire la puntura delle zecche e nell'impedire così la trasmissione. I farmaci impiegati devono garantire sia una buona attività acaricida sia un efficace effetto anti-feeding nei confronti delle zecche, insieme ovviamente alla praticità d'uso per il proprietario e alla bassa tossicità per il cane. È importante ricordare che, come nella maggior parte delle malattie trasmesse da zecche, la trasmissione dei patogeni da parte di queste ultime ha luogo alcune ore dall’inizio del pasto di sangue (durante la fase di rigurgito dei fluidi ematici).
Bibliografia
Cassini R, Zanutto S, Frangipane di Regalbono A, Gabrielli S, Calderini P, Moretti A, Tampieri MP, Pietrobelli M Canine piroplasmosis in Italy: epidemiological aspects in vertebrate and invertebrate hosts. Vet Parasitol. 2009 Oct 28;165(1-2):30-5
Trotta M, Carli E, Novari G, Furlanello T, Solano-Gallego L.Clinicopathological findings, molecular detection and characterization of Babesia gibsoni infection in a sick dog from Italy. Vet Parasitol.2009 Nov 12;165(3-4):318-22.
Ano H, Makimura S, Harasawa R. 2001. Detection of Babesia species from infected dog blood by polymerase chain reaction. J Vet Med Sci 63:111-113.
Birkenheuer AJ, Levy MG, Savary KC, et al.1999. Babesia gibsoni infections in dogs from North Carolina. J Am Anim Hosp Assoc 35:125-128.
Carret C, Walas F, Garcy B, et al. 1999. Babesia canis canis, Babesia canis vogeli, Babesia canis rossi: Differentiation of the three subspecies by a restriction fragment length polymorphism analysis on amplified small subunit ribosomal RNA genes. J Eukaryot Microbiol 46:298-303.
Comazzi S, Paltrinieri S, Manfredi MT, Agnes F. 1999. Diagnosis of canine Babesiosis by Percoll gradient separation of parasitized erythrocytes. J Vet Diagn Invest 11:102-104.
Gardiner CH, Fayer R, Dubey JP. 1988. An Atlas of Protozoan Parasites in Animal Tissues. U. S. Department of Agriculture, Agriculture Handbook No. 651, pp 70-71.
Genchi M, Traldi G., Genchi C. Manuale di Parassitologia veterinaria. Casa Editrice Ambrosiana 2010.
Leisewitz AL, Jacobson LS, de Morais HS, Reyers F. 2001. The mixed acid-base disturbances of severe canine Babesiosis. J Vet Intern Med 14:445-452.
Meinkoth JH, Kocan AA, Loud SD, Lorenz MD. 2002. Clinical and hematologic effects of experimental infection of dogs with recently identified Babesia gibsoni-like isolates from Oklahoma. J Am Vet Med Assoc 220:185-189.
Perkins SC. 2000. Babesia and the pet travel scheme. Vet Rec 147:460.
Schetters TP, Kleuskens J, Scholtes N, Gorenflot A. 1998. Parasite localization and dissemination in the Babesia-infected host. Ann Trop Med Parasitol 92:513-519.
Schetters TP, Kleuskens J, Scholtes, et al. 1997. Vaccination of dogs against Babesia canis infection. Vet 11. Parasitol 73 :35-41.
Taboada J. 1998. Babesiosis. In: Greene CE (ed), Infectious Diseases of the Dog and Cat. WB Saunders, Philadelphia, PA, pp 473-481.
Zahler M, Rinder H, Zweygarth E, et al. 2000. Babesia gibsoniof dogs from North America and Asia belong to different species. Parasitology 120:365-369.
Shaw SE, Birtles RJ, Day MJ. Arthropod-transmitted infectious diseases of cats. J Feline Med Surg 2001; 3:193–209.
Jacobson L, Schoeman T, Lobetti R. A survey a feline babesiosis in South Africa. J S Afr Vet Assoc 2000; 71 (4):222–228.
Villa, L., Zanzani, S. A., Mortarino, M., Gazzonis, A. L., Olivieri, E., & Manfredi, M. T. (2022). Molecular Prevalence of Selected Tick-Borne Pathogens in Dermacentor reticulatus Collected in a Natural Park in Italy. Pathogens (Basel, Switzerland), 11(8), 887. https://doi.org/10.3390/pathogens11080887
Carli, E., De Arcangeli, S., Montelli, S., Caldin, M., Ligorio, E., & Furlanello, T. (2021). Babesia gibsoni infection in Italy: a cross sectional study of 607 blood samples belonging to dogs that needed a molecular analysis investigation (2016-2019). Veterinary parasitology, regional studies and reports, 25, 100596. https://doi.org/10.1016/j.vprsr.2021.100596
Defauw, P., Schoeman, J. P., Leisewitz, A. L., Goddard, A., Duchateau, L., Aresu, L., Meyer, E., & Daminet, S. (2020). Evaluation of acute kidney injury in dogs with complicated or uncomplicated Babesia rossi infection. Ticks and tick-borne diseases, 11(3), 101406. https://doi.org/10.1016/j.ttbdis.2020.101406
Seejarim, C., Rautenbach, Y., Hooijberg, E. H., Leisewitz, A. L., Schoeman, J. P., & Goddard, A. (2023). Regenerative response in dogs naturally and experimentally infected with Babesia rossi. Veterinary clinical pathology, 52(3), 422–432. https://doi.org/10.1111/vcp.13228
Santoro, M., Auriemma, C., Lucibelli, M. G., Borriello, G., D'Alessio, N., Sgroi, G., Veneziano, V., Galiero, G., & Fusco, G. (2019). Molecular Detection of Babesia spp. (Apicomplexa: Piroplasma) in Free-Ranging Canids and Mustelids From Southern Italy. Frontiers in veterinary science, 6, 269. https://doi.org/10.3389/fvets.2019.00269
Chisu, V., Alberti, A., Zobba, R., Foxi, C., & Masala, G. (2019). Molecular characterization and phylogenetic analysis of Babesia and Theileria spp. in ticks from domestic and wild hosts in Sardinia. Acta tropica, 196, 60–65. https://doi.org/10.1016/j.actatropica.2019.05.013
