[{{{type}}}] {{{reason}}}
{{/data.error.root_cause}}{{{_source.displayDate}}}
{{/_source.showDate}}{{{_source.description}}}
{{#_source.additionalInfo}}{{#_source.additionalFields}} {{#title}} {{{label}}}: {{{title}}} {{/title}} {{/_source.additionalFields}}
{{/_source.additionalInfo}}Nel cuore di riconosce uno specifico sistema di conduzione deputato a generare e condurre l’impulso elettrico al miocardio di lavoro. Tale sistema si compone di cellule in grado di generare l’impulso elettrico in maniera spontanea e di strutture rappresentate da fasci che propagano lo stimolo agli atri ed ai ventricoli. L’impulso elettric...
La rogna sarcoptica, nota anche come scabbia canina, è una malattia dermatologica parassitaria e contagiosa dei canidi causata dall’acaro Sarcoptes scabiei var. canis. L’acaro può infestare eccezionalmente anche i gatti venuti a contatto con cani o volpi infestate. La rogna sarcoptica interessa cani di tutte le età, senza predilezioni di ...
La misurazione dell’ormone adrenocorticotropo (ACTH) endogeno rappresenta un test di laboratorio utile per valutare la funzionalità dell’asse ipotalamo-ipofisi-surrene (HPA) (Fig. 1) qualora si sospetti una patologia endocrina di origine ipofisaria o surrenalica. L’ACTH è un ormone estremamente labile e sensibile alle alte temperature e p...
Le modificazioni comportamentali secondarie a patologie organiche sono relativamente frequenti e giustificano la realizzazione di un’accurata visita clinica nell’ambito della consultazione comportamentale (Fig. 1). La diagnosi comportamentale, grazie al modello proposto da P. Pageat, può inserirsi in un contesto di diagnosi differenzia...
L’esame radiografico di norma si può eseguire senza sedazione; si può eventualmente eseguire una breve anestesia gassosa con induzione diretta. Viste le dimensioni della cavia, conviene eseguire di routine le proiezioni laterale e ventrodorsale di tutto il corpo, a meno che l’animale non sia gravemente debilitato e manovre stressanti poss...

Il presente documento è stato sviluppato dal gruppo di studio per le linee guida vaccinali (Vaccination Guidelines Group, VGG) della WSAVA per aiutare il clinico nella scelta del protocollo vaccinale appropriato per il paziente, canino o felino, sulla base della valutazione dei rischi. Le raccomandazioni contenute si basano sull’evidenza ...
Il criceto può essere affetto da patologie delle tasche guanciali, in particolare costipazioni, prolasso e ascessi. CostipazioneTalvolta il contenuto delle tasche guanciali si impacca e aderisce alle tasche stesse, che il criceto non riesce più a svuotare. Con il tempo il contenuto va in putrefazione. In genere è possibile svuotarle senz...
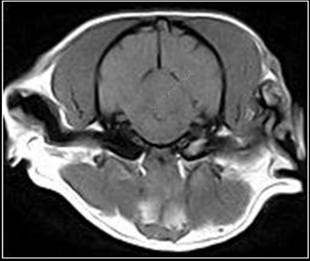
La più comune causa di patologia vestibolare periferica nei soggetti anziani è la malattia vestibolare idiopatica benigna (IBVD, Idiopathic Benign Vestibular Disease). Questa patologia può verificarsi in cani e gatti di qualsiasi età, ma nel cane l’età media d’insorgenza è 12,5 anni, pertanto viene spesso indicata anche con il nome di Sin...
L’Oleandro (Nerium Oleander) è un arbusto sempreverde appartenente alla famiglia delle Apocynaceae. Comprende tre specie che presentano foglie lanceolate, spesso verticillate, di consistenza coriacea e a margine intero. I fiori, che sbocciano riuniti in racemi o cime terminali, possono assumere varie colorazioni. Secondo i dati raccolti ...
Chiamata anche tetania puerperale, ipocalcemia o febbre lattea, l’eclampsia puerperale è una patologia acuta, anche grave, che interessa cane e gatto, dovuta a una condizione d’ipocalcemia, che può insorgere sia prima ma, più frequentemente, dopo il parto a causa di una deplezione del calcio ematico per la produzione di latte. SEGNALAMEN...
