[{{{type}}}] {{{reason}}}
{{/data.error.root_cause}}{{{_source.displayDate}}}
{{/_source.showDate}}{{{_source.description}}}
{{#_source.additionalInfo}}{{#_source.additionalFields}} {{#title}} {{{label}}}: {{{title}}} {{/title}} {{/_source.additionalFields}}
{{/_source.additionalInfo}}La citologia infiammatoria è una branca della citopatologia che descrive gli aspetti morfologici delle cellule implicate nei processi flogistici. La complessa cascata di eventi biochimici e di interazioni cellulari che si verifica durante un processo infiammatorio, sia nella fase acuta che nella sua evoluzione cronica, determina l’afflusso di cellule infiammatorie nella sede della lesione. Il numero, il tipo e le trasformazioni di queste cellule sono oggetto di descrizione e costituiscono la base morfologica per l’interpretazione delle cause e la previsione delle conseguenze.
Le cellule infiammatorie descritte dalla citologia infiammatoria sono tutte di origine ematopoietica. la prima fase della loro vita si svolge nel torrente ematico, come leucociti circolanti, oppure nella costituzione di un pool marginale, che rappresenta una riserva per eventuali situazioni di emergenza. In assenza di stimolazione infiammatoria, queste cellule vengono generalmente sequestrate e distrutte negli organi emocateretici. Quando invece si verifica lo stimolo infiammatorio, i leucociti si dirigono attivamente nel focolaio lesionale, dove subiscono trasformazioni morfologiche sulla base delle cause che hanno generato l’evento.
I leucociti di cui analizzeremo la morfologia sono:
Granulociti neutrofili
Sono cellule di piccole-medie dimensioni, circa 8-9 micron, con citoplasma pallido, contenente granuli acromatici. Il nucleo tipicamente costituito da lobi interconnessi da ponti di cromatina coartata o ipercromatica (Fig. 1).
Granulociti eosinofili
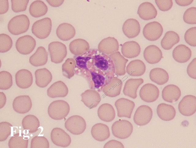
Hanno forma e dimensione analoga ai neutrofili, da cui si differenziano soprattutto per il contenuto citoplasmatico rappresentato da granuli aranciati, che sono rotondeggianti nel cane e bastoncellari nel gatto. Il nucleo può presentare a volte forma bilobata, con cromatina coartata o ipercromatica (Fig. 2).
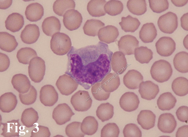
Monociti
Sono i leucociti con le dimensioni maggiori, con citoplasma uniformemente e debolmente basofilo e nucleo ovoide, spesso dotato di clivatura centrale o profilo irregolare, caratterizzati da cromatina finemente irregolare (Fig. 3).
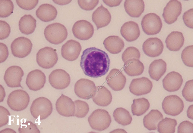
Linfociti
Sono cellule di dimensioni simili a quelle dei granulociti, con profilo rotondo, scarso citoplasma basofilo e nucleo rotondo con cromatina coartata (Fig. 4).
![]() |
![]() |
![]() |
![]() |
CITOLOGIA DELLA FLOGOSI
Ogni tipo di cellula descritto può essere coinvolto come dominante o in combinazione con altre linee cellulari durante un processo infiammatorio.
Il tipo di cellule prevalente in un sito infiammatorio e le alterazioni morfologiche cui essa vanno incontro, rappresentano la base morfologica per il riconoscimento del tipo di flogosi: generalmente questi rilievi si dimostrano estremamente utili nell’identificazione diretta o indiretta delle cause, anche nei casi in cui esse non siano oggettivamente manifeste.
I processi infiammatori sono tipicamente classificati come neutrofilici, eosinofilici, piogranulomatosi o misti, granulomatosi e linfocitici/linfoplasmocitari. È importante notare che, con rare eccezioni, non esistono soglie numeriche definite per la caratterizzazione morfologica dei processi infiammatori.
Di seguito si espongono i caratteri morfologici dei vari tipi di flogosi.
Flogosi neutrofilica
È un tipo di infiammazione principalmente sostenuta da granulociti neutrofili, che costituiscono almeno l’85% delle cellule infiammatorie. Questo tipo di infiammazione è anche conosciuto come flogosi suppurativa o flogosi purulenta (Fig. 5).
L'infiammazione neutrofilica, definita citologicamente secondo linee guida specifiche per il tessuto interessato, può essere causata da varie condizioni, tra cui infezioni batteriche, fungine o protozoarie, malattie autoimmuni e neoplasie.
Quando un evento flogistico è sostenuto da granulociti neutrofili è indispensabile analizzarne l’aspetto morfologico, che può essere descritto come non degenerato o degenerato. I neutrofili non degenerati appaiono simili ai neutrofili del sangue periferico. Al contrario, i neutrofili degenerati può essere interessato da due alterazioni fondamentali: la cariolisi e la picnosi.
Il mantenimento di un aspetto morfologicamente normale piò essere osservato in corso di processi patologici generalmente non settici, sostenuti da cause immunomediate, quali le artrosinoviti suppurative non settiche oppure da condizioni irritative sterili.
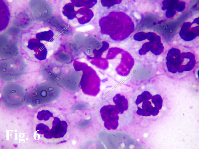
La cariolisi è l’aspetto morfologico della morte del granulocita neutrofilo per effetto dell’azione sostenuta soprattutto da tossine batteriche, specialmente da batteri Gram-negativi produttori di endotossine. Questo processo è caratterizzato dalla perdita delle lobature e dei ponti di cromatina del nucleo, che assume aspetto rigonfio e cromatismo pallido e uniforme (Fig. 6). Frequentemente è possibile rilevare, in concomitanza alle alterazioni morfologiche nucleari, la presenza di batteri citoplasmatici, presenti per effetto di fenomeni di fagocitosi. Quando si identifica morfologicamente la presenza di agenti batterici fagocitati, la flogosi viene denominata “suppurativa settica” o “purulenta settica”.
La picnosi è invece caratterizzata dalla trasformazione del nucleo in una zolla sferica iperbasofila (Fig. 7), che può subire processi di frammentazione in piccole sferule analoghe, identificati con il termine di carioressi (Fig. 8). Questo processo è sostenuto da fenomeni di apoptosi nucleare o da prolungata permanenza della cellula infiammatoria in sede lesionale, benché in alcune occasioni sia conseguenza di cause settiche.
La condensazione del materiale nucleare e la vacuolizzazione del citoplasma sono caratteristiche morfologiche dei neutrofili apoptotici. Funzionalmente, l'apoptosi dei neutrofili impedisce il rilascio di contenuti dannosi e favorisce la rimozione di queste cellule da parte dei macrofagi. Al contrario, la necrosi dei neutrofili può aggravare l'infiammazione locale e il danno tissutale.
![]() |
![]() |
![]() |
![]() |
Flogosi macrofagica
Quando i monociti circolanti abbandonano il letto vascolare per transitare nei tessuti, assumono il nome di macrofagi. Questi, a seguito della loro attivazione per effetto di processi infiammatori, acquisiscono attività fagocitica. I macrofagi hanno grandi dimensioni, nucleo rotondeggiante, ovoidale, frequentemente clivato o con profilo irregolare, generalmente paracentrale o eccentrico; il citoplasma è generalmente vacuolizzato. Sulla base dell’evento patogeno che ha provocato l’afflusso di macrofagi, è possibile individuare fenomeni di fagocitosi diretti verso numerose condizioni causali, tra cui agenti eziologici, cellule e materiale detritico o estraneo.
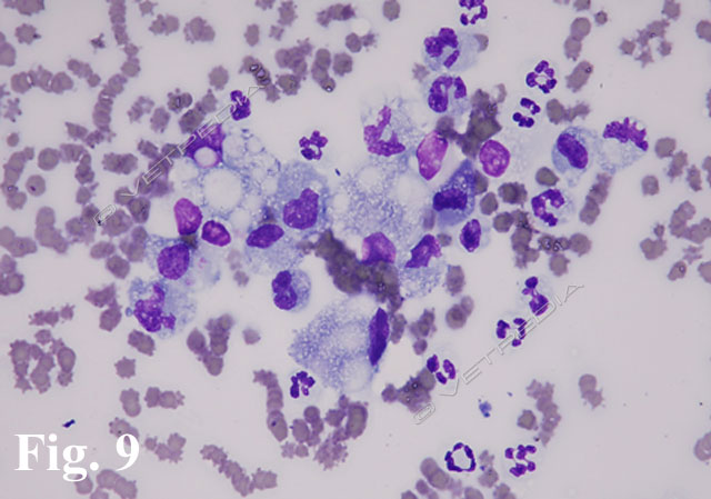
Una popolazione infiammatoria composta esclusivamente da macrofagi è rara e tipicamente associata a condizioni patologiche rare, come la xantomatosi, l’infiammazione associata a calcinosi circoscritta, le pannicoliti macrofagiche o alcune infezioni come la micobatteriosi. Più frequentemente, la componente macrofagica si associa ai granulociti neutrofili, assumendo il nome di “flogosi suppurativa e macrofagica”, comune in molti eventi infiammatori, tra cui quelli di origine batterica, fungina o protozoaria (Fig. 9).
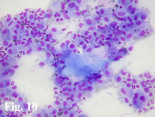
La flogosi macrofagica evolve in flogosi granulomatosa quando i macrofagi manifestano la tendenza ad organizzarsi in aggregati epitelioidi (Fig. 10) o a formare cellule multinucleate giganti da corpo estraneo (Fig. 11). Questi casi sono spesso associati a materiale estraneo, come la cheratina derivante da fenomeni di ressi annessiale, o ad agenti eziologici fungini o parassitari.
![]() |
![]() |
![]() |
Flogosi mista o piogranulomatosa
L’infiammazione mista o piogranulomatosa è caratterizzata dalla presenza significativa di macrofagi e neutrofili, insieme a un numero minore di linfociti e plasmacellule. Le cause di questo tipo di infiammazione includono infezioni fungine, risposte a corpi estranei, infezioni da Mycobacterium spp., infezioni da Actinomyces o Nocardia spp., e traumi o infiammazioni tissutali croniche. Per le lesioni infiammatorie piogranulomatose o istiocitiche, può essere utile utilizzare colorazioni aggiuntive come la colorazione di Gram o quella acido-resistente, per assicurarsi che piccoli numeri di organismi non vengano trascurati durante la valutazione.
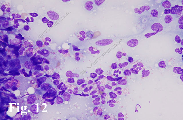
Flogosi granulocitaria eosinofilica
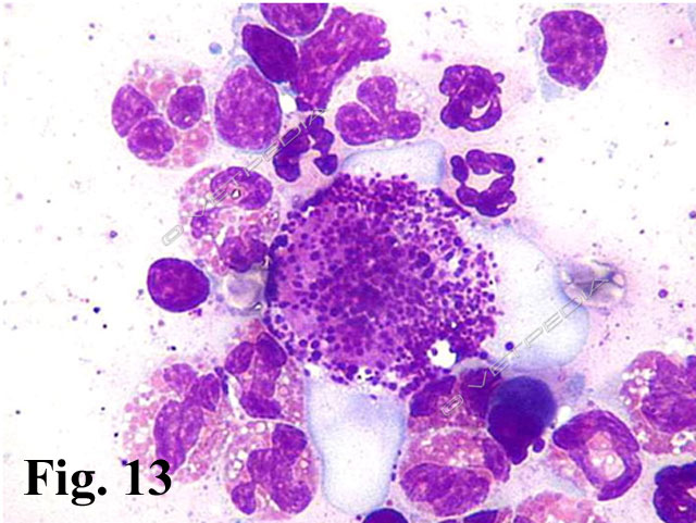
Come per la flogosi macrofagica, anche la flogosi costituita da soli granulociti eosinofili è rara (Fig. 12). Queste cellule spesso si associano a componente granulocitaria neutrofilica, talora macrofagica e linfoplasmocellulare. Nel cane, per definire una flogosi eosinofilica, è sufficiente individuare una percentuale relativa di granulociti eosinofili del 5-10%, mentre nel gatto essi devono raggiungere almeno il 25-30% delle cellule infiammatorie totali. In alcuni focolai flogistici gli eosinofili possono associarsi a un numero variabile di mastociti. I mastociti sono cellule di medie o grandi dimensioni, caratterizzate da citoplasma ricco di granuli eosinofili e nucleo rotondo con cromatina coartata (Fig. 13). Le cause di flogosi eosinofilica sono principalmente associate a fenomeni di ipersensibilità, come il granuloma eosinofilico, reazioni alla puntura d’insetto, l’asma bronchiale e talvolta alcune condizioni parassitarie, come la filariosi cardiopolmonare o la sindrome da larva migrans.
Altre cause includono le sindromi eosinofiliche idiopatiche o le sindromi paraneoplastiche, dove gli eosinofili possono concentrarsi in un sito patologico a causa del richiamo chemiotassico esercitato da alcune citochine prodotte dalle cellule neoplastiche. Tra le neoplasia più comuni si ricordano il mastocitoma e alcuni tipi di linfoma.
Gli eosinofili sono generalmente identificati dai loro granuli caratteristici nelle colorazioni di tipo Romanowsky, anche se sono stati descritti eosinofili con granuli non coloranti (denominati eosinofili “vacuolizzati” o grigi) nei Greyhound, altri levrieri e occasionalmente nei Golden Retriever.
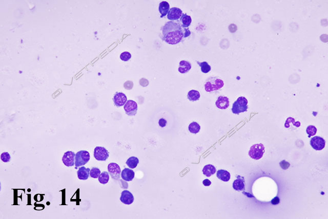
Flogosi linfoplasmocellulare
Come per le due precedenti, anche la flogosi linfocitaria è rara (Fig. 14). Viene definita linfoplasmocellulare perché, generalmente, alla componente linfocitaria si affianca la presenza di plasmacellule, ossia elementi con citoplasma basofilo e nucleo rotondo con cromatina zollata, paracentrale o eccentrico. Una caratteristica morfologica distintiva è la presenza di un alone perinucleare acromatico, che corrisponde all’apparato del Golgi, sede di sintesi e processazione delle immunoglobuline, di cui queste cellule sono produttrici. Generalmente la flogosi linfoplasmocellulare complica processi flogistici degli altri tipi quando questi vanno incontro a cronicizzazione, oppure interviene in corso di fenomeni di stimolazione immunomediata o di malattie sostenute da virus. Poiché una significativa infiammazione linfocitica nei campioni può sollevare il sospetto di una neoplasia linfoide, potrebbe essere necessaria una valutazione diagnostica ulteriore.
Letture consigliate
Raskin, R. E., Meyer, D., & Boes, K. M. (2021). Canine and feline cytopathology: a color atlas and interpretation guide. Elsevier Health Sciences.
Valenciano, A. C., & Cowell, R. L. (2019). Cowell and Tyler’s Diagnostic Cytology and Hematology of the Dog and Cat. Elsevier Health Sciences.
Zachary J. F. (2022). Pathologic Basis of Veterinary Diseases. Elsevier Health Sciences .
Sharkey, L. C., Radin, M. J., & Seelig, D. M. (Eds.). (2020). Veterinary cytology. John Wiley & Sons.
