[{{{type}}}] {{{reason}}}
{{/data.error.root_cause}}{{{_source.displayDate}}}
{{/_source.showDate}}{{{_source.description}}}
{{#_source.additionalInfo}}{{#_source.additionalFields}} {{#title}} {{{label}}}: {{{title}}} {{/title}} {{/_source.additionalFields}}
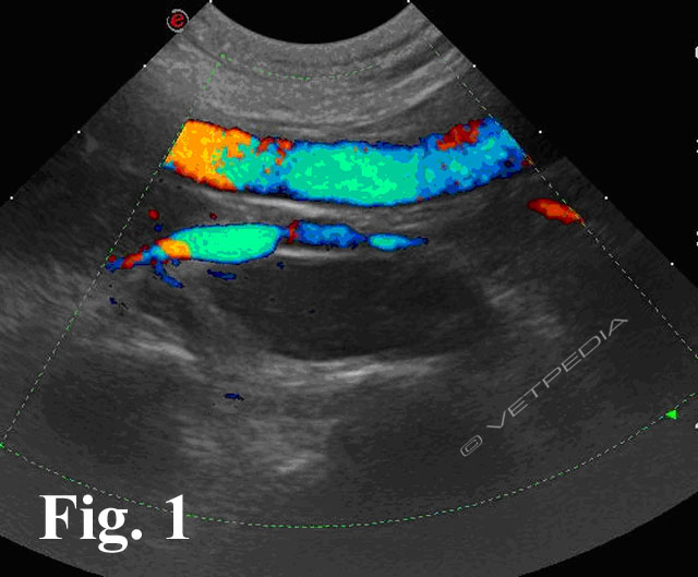
{{/_source.additionalInfo}}L’ecografia rappresenta una delle metodiche più sensibili per lo studio dei linfonodi addominali e permette di studiare la loro forma, le dimensioni, l’ecostruttura e l’ecogenicità. In tabella 1 sono riportati i linfonodi che drenano gli organi viscerali e le strutture parietali1. LINFONODI VISCERALI LINFONODI PARIETALI Lin
I contenuti di VETPEDIA sono riservati. Effettua LOGIN o REGISTRATI!
