[{{{type}}}] {{{reason}}}
{{/data.error.root_cause}}{{{_source.displayDate}}}
{{/_source.showDate}}{{{_source.description}}}
{{#_source.additionalInfo}}{{#_source.additionalFields}} {{#title}} {{{label}}}: {{{title}}} {{/title}} {{/_source.additionalFields}}
{{/_source.additionalInfo}}Nel 1932 il neurochirurgo Harvey Cushing descrisse per la prima volta una strana sindrome connessa alla presenza di “cellule basofile anomale” a livello di ghiandola pituitaria. Oggi tale patologia è ben conosciuta e viene denominata Sindrome di Cushing. Nel caso in cui si parli specificatamente di forma ipofisaria [Pituitary dependent hypercortisolism (PDH)] viene anche denominata Malattia di Cushing. Tale sindrome prende anche il nome di iperadrenocorticismo, tuttavia è più corretto parlare di ipercortisolismo dal momento che l’iperadrenocorticismo comprende anche l’iperaldosteronismo ed altre forme di iperattività della corteccia delle surrenali che sono patologie differenti.
DEFINIZIONE
La Sindrome/Malattia di Cushing (forma spontanea) è rappresentata dagli aspetti clinici e laboratoristici conseguenti ad uno stato ipercortisolemico cronico e patologico.
EPIDEMIOLOGIA
La Sindrome di Cushing si manifesta generalmente in soggetti di età compresa tra i 6 e i 16 anni, con una media di circa 10-11 anni. Nel cane si suppone abbia un’incidenza di 1-2 casi/1000 casi per anno mentre nell’uomo l’incidenza è nettamente più bassa con 1,2-2,4 nuovi casi/milione/anno. La forma ipofisaria è più frequente nei soggetti di peso inferiore ai 20 Kg (75%) e nelle femmine (55-60%). Le neoplasie surrenaliche, invece, mostrano un’incidenza del 50% nei cani con peso superiore ai 20 Kg. Le razze più a rischio sono il Barbone Nano, il Bassotto, il Beagle, il Boxer, il Labrador, il Pastore Tedesco e i vari Terrier.
EZIOPATOGENESI
In base all’eziopatogenesi è possibile parlare di ipercortisolismo ACTH dipendente e non ACTH dipendente:
IPERCORTISOLISMO ACTH DIPENDENTE
Ipercortisolismo ipofisi-dipendente, pituitary dependent hypercortisolism” (PDH) o malattia di Cushing. Circa l’85% dei cani presenta questa forma. E’ sostenuta da una neoplasia pituitaria ACTH-secernente. L’eccessiva secrezione di ACTH determina un’iperplasia surrenalica bilaterale ed una conseguente ipersecrezione di glucocorticoidi surrenalici. Nella maggior parte dei casi si tratta di tumori benigni che normalmente sono microadenomi e nel 15-25% macroadenomi. Tali adenomi insorgono nel 20-25% dei casi dalla pars intermedia dell’adenoipofisi (solitamente si tratta di macroadenomi) mentre i restanti dal lobo anteriore dell’adenoipofisi.
Ipercortisolismo da produzione ectopica di ACTH. Nell’uomo tale patologia è ben conosciuta (rappresenta circa il 15% dei casi di ipercortisolismo ACTH dipendente) ed è caratterizzata dalla produzione di ACTH da parte di neoplasie non ipofisarie (solitamente carcinomi polmonari). Ciò determina un’abnorme stimolazione delle surrenali con conseguente iperplasia bilaterale ed iperproduzione di cortisolo. Tale forma è stata recentemente segnalata in un cane.
IPERCORTISOLISMO NON ACTH DIPENDENTE
Ipercortisolismo dovuto a tumori surrenalici cortisolo secernentio adrenal dependent hypercortisolism (ADH)
È sostenuto da adenomi o carcinomi a carico della corticale delle surrenali che secernono un’eccessiva quantità di cortisolo indipendentemente dal controllo pituitario. Solitamente la neoplasia è monolaterale, tuttavia nel 10% circa dei casi può esserci un coinvolgimento di entrambe le ghiandole. Tali neoplasie possono secernere sia cortisolo che suoi precursori o altre molecole quali ad esempio ormoni surrenalici, come conseguenza dell’alterata steroidogesesi.
Ipercortisolismo dovuto all’aberrante espressione di recettori ormonali. L’espressione di recettori anomali a livello di ghiandole surrenale può esitare nello sviluppo di un ipercortisolismo causato da molecole differenti dall’ACTH. Recentemente è stata descritta in un cane una rara forma “alimento dipendente” di ipersecrezione di cortisolo dopo il pasto. La secrezione di cortisolo veniva stimolata da un peptide gastrico (GIP) che andava ad agire su un recettore aberrante della corteccia delle surrenali.
Ipercortisolismo iatrogeno. Tale situazione si verifica in seguito alla somministrazione prolungata e/o eccessiva di glucocorticoidi esogeni. Questa condizione determina oltre alla comparsa della classica sintomatologia da Cushing anche l’inibizione dell’asse ipotalamo-ipofisi-surrene con conseguente atrofia della corticale surrenalica. Non è chiaro il perché alcuni soggetti risultino più sensibili di altri all’azione “Cushingoide” dei glicocorticoidi.
SINTOMATOLOGIA CLINICA
L’esposizione cronica a livelli eccessivi di cortisolo si manifesta con un’ampia serie di segni clinici caratteristici che, tuttavia, possono non essere sempre presenti e possono manifestarsi con variabili gradi di gravità.
Poliuria e polidipsia: sono segni estremamente comuni in corso di ipercortisolismo (80-85% dei soggetti) e spesso rappresentano il motivo principale per cui il proprietario richiede il consulto veterinario. In un soggetto con ipercortisolismo la quantità di acqua assunta può essere da 2 a 10 volte superiore alla norma e quindi superiore ai 100 ml/Kg/die che è la soglia che nel cane normalmente permette di definire uno stato di polidipsia. Il cortisolo, prodotto in elevate quantità, interferisce con l’azione dell’ormone antidiuretico a livello di tubuli collettori distali renali, determinando una forma di diabete insipido nefrogenico secondario. In questi soggetti s’instaura inoltre, uno stato di diabete insipido centrale, con una vera e propria carente secrezione di ormone antidiuretico.
Polifagia: nel cane, l’aumento dell’appetito, sembra essere un effetto diretto dei glucocorticoidi. La polifagia si manifesta in più del 90% dei casi di ipercortisolismo e probabilmente è dovuta ad un’azione anti-insulinica del cortisolo che riduce l’utilizzo del glucosio da parte dei tessuti.
Addome a botte (Figg. 1a e 1b): questo sintomo è rilevabile nell’80% dei cani con ipercortisolismo ed è la conseguenza di un aumento del contenuto addominale e di una diminuzione della tonicità dei muscoli addominali dovuta agli effetti proteocatabolici del cortisolo. L’aumento del contenuto addominale è attribuibile alla ridistribuzione dei grassi corporei con accumulo a livello omentale, all’epatomegalia (per infiltrazione lipidica ed accumulo di glicogeno) ed alla sovra distensione cronica della vescica.
Astenia muscolare e letargia: l’astenia muscolare si manifesta con intolleranza all’esercizio, difficoltà nel salire le scale e nel compiere sforzi fisici intensi ed è il risultato del catabolismo proteico mediato dai glucocorticoidi che si ripercuote sul tessuto muscolare nel 75-85% dei soggetti con Sindrome di Cushing. La letargia è probabilmente l’espressione dell’astenia e del danno muscolare.
Manifestazioni cutanee: le alterazioni cutanee in corso di ipercortisolismo sono frequenti e solitamente non associate a prurito. L’alopecia simmetrica bilaterale (Figg. 2 e 3) è uno dei sintomi più comuni e si localizza, generalmente, a livello del tronco, risparmiando la testa e gli arti. È il risultato di un’atrofia follicolare e pilosebacea che determina caduta del pelo e mancata ricrescita.
La cute si presenta ipotonica e notevolmente assottigliata, con evidenza della trama vascolare (Fig. 4), tendenza a sviluppare ematomi, petecchie e soffusioni. Inoltre, la cute è più soggetta ad infezioni secondarie, conseguenti all’effetto immunosoppressivo dei glucocorticoidi, sostenute da batteri, miceti o acari (ad esempio demodicosi). Spesso si evidenziano comedoni (Fig. 4) attorno ai capezzoli e lungo la linea mediana dorsale, e a volte possono essere presenti lungo tutto il tronco; non di rado vi è la presenza di aree di iperpigmentazione focale o diffusa. Rilievo meno comune (2-8%), è invece la “calcinosis cutis” (Fig. 5 a e b), cioè una deposizione distrofica di calcio nel derma e nel sottocute, di cui non si conosce ancora completamente il meccanismo eziopatogenetico.


Dispnea: i soggetti affetti da ipercortisolismo hanno un aumento della deposizione di tessuto adiposo a livello del torace e una debolezza muscolare che coinvolge anche i muscoli respiratori. Questi fattori possono determinare l’insorgenza di dispnea. L’aumento della pressione esercitata sul diaframma dall’accumulo di tessuto adiposo addominale, associato all’epatomegalia, può accentuare i disturbi del meccanismo di ventilazione. Altre cause includono la mineralizzazione dell’intertizio polmonare e il tromboembolismo polmonare.
Sintomi meno comuni: cani affetti da ipercortisolismo possono raramente manifestare segni legati all’apparato riproduttivo quali atrofia testicolare o anestro. Un altro fenomeno piuttosto raro sono le miotonie: raramente, cani con ipercortisolismo sviluppano una miopatia caratterizzata da contrazioni muscolari persistenti e rigidità muscolare (Video 1). La causa di tale alterazione nel cane è ancora sconosciuta.
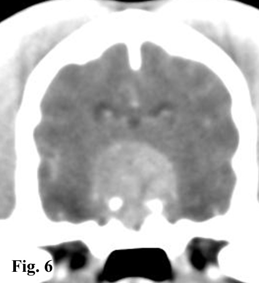
Video 1:Cane meticcio femmina di 9 anni con ipercortisolismo ipofisi dipendente e miotonia agli arti posteriori. Si noti l’andatura del tipo “bunny hopping” dovuta all’estrema rigidità degli arti posteriori.Video 2: Cane Beagle maschio di 12 anni affetto da ipercortisolismo ipofisi dipendente. Si noti l’andatura compulsiva del soggetto. La tomografia computerizzata ha messo in evidenza la presenza un macroadenoma ipofisario (Fig. 6)
Sintomatologia nervosa: nei soggetti affetti da un macroadenoma ipofisario la compressione sulle strutture circostanti può determinare una sintomatologia nervosa caratterizzata da alterazioni dello stato mentale (ottundimento del sensorio, stupor), atassia, tetraparesi, disorientamento e soprattutto compulsione (Fig. 6) (Video 2) .
ESAMI DI LABORATORIO
Esame emocromocitometrico
La classica alterazione presente in corso di ipercortisolismo è il leucogramma da stress: l’80% dei soggetti presenta una linfopenia ed eosinopenia e il 20-25% mostra un lieve aumento dei leucociti totali. L’eccessiva produzione di cortisolo, infatti, causa una demarginazione dei neutrofili e dei monociti dall’endotelio dei capillari, determinando una neutrofilia ed una monocitosi. Un altro rilievo molto comune è la trombocitosi mentre più raramente si può riscontrare una lieve eritrocitosi.
Profilo biochimico
Il rilievo ematobiochimico più comunemente evidenziato è l’aumento della fosfatasi alcalina (SAP). L’eccesso di cortisolo endogeno determina infatti un aumento della fosfatasi alcalina corticosterioido-indotta. L’85% dei soggetti affetti da ipercortisolismo presenta valori di fosfatasi alcalina superiori a 150 UI/L e non è raro che tali valori superino i 1000 UI/L. Gli enzimi epatici, soprattutto l’alanino aminotranferasi (ALT), sono generalmente aumentati a causa dell’epatopatia indotta dagli steroidi e dall’induzione enzimatica. Il rinvenimento di un incremento di ALT a fronte di AST pressoché normale è indicativo di uno stato ipercortisolemico. I glucocorticoidi stimolano inoltre la lipolisi determinando quindi un aumento della lipemia e del colesterolo sierico nel 90% dei soggetti. L’insulino-resistenza e l’attivazione della gluconeogenesi epatica causate dal cortisolo endogeno possono determinare un moderato aumento della glicemia che solo nel 5-10% dei soggetti sfocia in un diabete mellito clinicamente manifesto. Nel 38% dei soggetti l’azotemia e la creatininemia possono essere inferiori all’intervallo di riferimento a causa dell’accentuata diuresi. Anche gli elettroliti sierici possono mostrare delle alterazioni: nel 33% dei soggetti viene evidenziata una ipofosfatemia causata dell’aumento dell’escrezione renale dei fosfati, il 50% dei soggetti mostra un aumento della natremia e un lieve calo della potassiemia. L’aptoglobina risulta solitamente aumentata nei cani con ipercortisolismo.
Esame chimico-fisico delle urine
L’alterazione riscontrata più comunemente nelle urine di cani affetti da ipercortisolismo è la diminuzione del peso specifico. Nell’85% dei soggetti, infatti, il peso specifico urinario risulta inferiore a 1.020. Circa il 40-50% dei cani presenta infezioni alle vie urinarie: l’immunosoppressione mediata dai glucocorticoidi, la sovradistensione cronica della vescica e la presenza di urine diluite facilitano l’insorgenza di infezioni a carico delle basse vie urinarie.
DIAGNOSI
Test endocrini specifici
I test endocrini specifici per la diagnosi d’ipercortisolismo si basano sulla dimostrazione della presenza di livelli di glucocorticoidi ematici in eccesso come nel caso del rapporto cortisolo-creatinina urinario (UCCR), sulla dimostrazione di un’eccessiva risposta in seguito a stimolazione, quindi di un’abnorme attività dell’asse ipofisi-surrene con il test di stimolazione con ACTH, o provando la perdita del feed-back negativo che i tassi di cortisolo circolanti esercitano normalmente sull’ipofisi nei confronti della secrezione di ACTH tramite il test di soppressione a basse (LDDST) o alte dosi (HDDST) di desametasone nel sangue o nelle urine.
Questi test si suddividono in test di screening ed in test differenziativi. Al fine di impostare un’adeguata terapia, dopo aver raggiunto la diagnosi di sindrome di Cushing, è fondamentale poter differenziare l’ipercortisolismo ACTH-dipendente, solitamente di origine ipofisaria, dall’ipercortisolismo ACTH-indipendente, di origine surrenalica, per impostare un’adeguata terapia.
I test di screening utilizzati sono il rapporto tra il cortisolo e la creatinina presenti nelle urine (UCCR), il test di stimolazione con ACTH e il test di soppressione a basse dosi di desametasone (LDDST). Al fine d i ottenere la conferma diagnostica in un soggetto con sospetto ipercortisolismo è opportuno avere la conferma da almeno due test endocrini specifici. I test e le altre metodiche diagnostiche di tipo differenziale sono rappresentati dal LDDST, HDDST su urine, HDDST su sangue, dalla misurazione dell’ACTH endogeno, dall’ecografia addominale e dalle tecniche di diagnostica per immagini avanzata quali la tomografia computerizzata e la risonanza magnetica nucleare.
Ecografia addominale
L’ecografia addominale permette di valutare la forma e la dimensione delle ghiandole surrenali. Inoltre, permette di evidenziare la presenza di eventuali alterazioni a carico degli altri organi addominali, spesso presenti in corso di ipercortisolismo quali ad esempio l’epatomegalia, la presenza di calcoli urinari e metastasi neoplastiche a carico del fegato.
In corso di PDH, in circa il 97% dei casi, forma, contorni, ecogenicità ed ecostruttura delle ghiandole surrenali appaiono normali all’esame ecografico, tuttavia con un aumento simmetrico delle dimensioni. Il miglior parametro per oggettivare l’aumento di volume delle surrenali è la misurazione del diametro del polo caudale di ciascuna surrenale che non deve superare i 7 mm indipendentemente dalla taglia dell’animale.
In corso di ADH, invece, l’ecogenicità della surrenale colpita dalla neoplasia appare variabile ed eterogenea, con distorsione dei contorni e un aumento irregolare delle dimensioni, la surrenale controlaterale, invece, può apparire atrofica o normale. E’ importante ricordare che esistono casi in cui il tumore può coinvolgere entrambe le surrenali, in tal caso entrambe le surrenali appariranno aumentate nelle loro dimensioni e con un’ecostruttura ed una ecogenicità alterate.
Tomografia computerizzata
Le dimensioni dell’ipofisi sono differenti fra le varie razze e tra cani della stessa razza. In uno studio su 35 cani sani, le dimensioni tomografiche dell’ipofisi variavano da 3,2 a 5,1 mm in altezza, da 4,2 a 6,9 mm in larghezza e da 3,6 a 7,2 mm in lunghezza. Il primo segno di ingrandimento ipofisario sembra essere l’aumento dell’altezza (cioè l’estensione dorsale soprasellare); la ghiandola si considera aumentata di volume quando il suo contorno dorsale protrude al di sopra dell’estensione soprasellare delle cisterne intercrurali, facilmente evidenziabili nelle immagini della TC .
In alternativa, si può utilizzare il rapporto tra l’altezza dell’ipofisi e l’area cerebrale misurata nell’immagine fino al centro dell’ipofisi (rapporto P:B) per discriminare tra ipofisi ingrandita (P:B superiore a 0,31) e normale (P:B inferiore o uguale a 0,31).
I tumori di grandi dimensioni si individuano facilmente in immagini TC con mezzo di contrasto, per la loro grandezza e per la loro forma alterata (Fig. 6), mentre a volte possono essere difficili da visualizzare senza mezzo di contrasto. Nel 50-60% dei cani con ipercortisolismo ipofisario, si può individuare una massa ipofisaria tramite TC; nel rimanente 40-50% dei casi, la patologia è causata da un microadenoma di dimensioni inferiori a 3-4 mm, che non è visibile neanche con contrasto.
Nuove tecniche TC, che utilizzano una serie di scansioni trasversali passanti per il centro dell’ipofisi durante e dopo la rapida iniezione endovenosa di un mezzo di contrasto (TC dinamica), sono in grado di rilevare una differenza di contrasto tra la neuroipofisi e l’adenoipofisi. Questo è dovuto a variazioni nel flusso sanguigno; si osserva un precoce forte contrasto tra la neuroipofisi al centro (“flush ipofisario”), come pure un più debole contrasto, leggermente ritardato, dell’adenoipofisi, più periferica. Uno spostamento o una distorsione del flush della neuroipofisi può rilevare la presenza di piccole neoplasie.
TERAPIA
La terapia dell’ipercortisolismo può essere sia di tipo medico che chirurgico.
TERAPIA DEL PDH
Idealmente, il trattamento del PDH dovrebbe essere volto ad eliminare la causa alla base della disencronia. In Medicina Umana, infatti, la rimozione chirurgica dell’ipofisi con un approccio transfenoidale è considerato il trattamento di elezione in corso di tumori pituitari. Anche in Medicina Veterinaria, tale tipo di intervento è stato effettuato con successo nel cane e secondo alcuni Autori è il metodo di elezione per il trattamento del PDH canino. Tuttavia, l’ipofisectomia transfenoidale richiede competenze chirurgiche considerevoli e attualmente soltanto il Dott. Meij dell’Università di Utrecht esegue regolarmente e con successo tale tipo di intervento. Nel caso di macroadenoma ipofisario con concomitanti sintomi neurologici le uniche possibilità terapeutiche sono rappresentate dalla chirurgia e dalla radioterapia. La radioterapia consente di ridurre notevolmente le dimensioni della massa ipofisaria.
La terapia medica del PDH prevede la somministrazione di principi attivi quali il trilostano, il mitotane o il ketoconazolo.
Il trilostano è un inibitore competitivo del 3β-idrossisteroido-deidrogenasi ed è attualmente l’unico farmaco approvato in Italia per la terapia dell’ipercortisolismo canino. Questo enzima media la conversione del pregnenolone a progesterone e del 17-idrossipregnenolone a 17-idrossprogesterone (Fig. 7). Il cortisolo, l’aldosterone e l’androsteneidione sono prodotti a partire dal progesterone e dal 17-idrossipregnenolone (Fig. 7). Il trilostano inibisce la produzione di progesterone e di 17-idrossiprogesterone, con conseguente riduzione della sintesi dei vari steroidi prodotti dalle surrenali, dalle gonadi e dalla placenta.
In medicina veterinaria sono stati effettuati numerosi studi che hanno evidenziato un miglioramento significativo dei segni clinici in cani affetti da ipercortisolismo e sottoposti a terapia con trilostano (Fig. 8), nonostante siano state segnalate risposte variabili nei diversi soggetti. Il trilostano è un farmaco efficace e sicuro nel trattamento del PDH nel cane. Inoltre, tale farmaco è l’unico registrato in Italia per la terapia della Sindrome di Cushing nel cane.
Il protocollo di utilizzo del trilostano è stato definito in un Consensus Meeting fra endocrinologi Europei avvenuto il 19 Aprile 2006.
| Protocollo di utilizzo del trilostano |
|
Alcuni Autori sostengono che la somministrazione di basse dosi (0,5-2,5 mg/kg q12h) dia risultati migliori, meno effetti collaterali e permetta di normalizzare il profilo ematochimico. Il protocollo di monitoraggio è analogo a quello descritto sopra.
Il mitotane (o,p’-DDD) è una molecola ad attività adrenocorticolitica, per anni è stato utilizzato come farmaco d’elezione per il trattamento del PDH. Sono disponibili diversi protocolli di utilizzo del mitotane per l’ipercortisolismo canino, alcuni hanno come obiettivo la distruzione selettiva della zona reticolare o fascicolata, risparmiando la zona glomerulosa e la produzione di mineralcorticoidi, mentre altri mirano alla distruzione totale della corticale delle surrenali, determinando così ipoadrenocorticismo o morbo di Addison, con conseguente necessità di supplementazione ormonale per tutta la durata della vita dell’animale .
La differenza tra i due tipi di approccio si basa sulla quantità di farmaco e la durata del cosiddetto periodo di carico. Con la lisi completa della corticale surrenale si assiste ad un minor numero di recidive, tuttavia il proprietario deve essere ben cosciente che la patologia iatrogena che si induce può essere pericolosa per la vita dell’animale se non si attua un’adeguata terapia a base di glucocorticoidi e mineralcorticoidi.
| Protocollo di utilizzo del mitotane |
|
Il mitotane deve essere somministrato contemporaneamente all’alimento in quanto ne aumenta l’assorbimento. La terapia, per ottenere un’azione selettiva sulla zona fascicolata e reticolare, con o,p’-DDD prevede una fase di carico con una dose pari a 25-50 mg/kg suddivisa in due somministrazioni per 5-9 giorni. Non è necessario somministrare glucocorticoidi, ma è opportuno tenerne a disposizione in caso di emergenza. E’ opportuno sospendere la terapia ogni volta che il paziente mostri calo dell’appetito, quando il consumo di acqua si riduca a meno di 60 ml/kg/giorno, in caso di vomito, diarrea o l’animale appaia stanco e letargico. Dopo la prima fase si esegue un test di stimolazione con ACTH, se la risposta è normale o eccessiva si deve proseguire con cicli di 3-7 giorni. Si passa poi ad una fase di mantenimento in cui la dose iniziale giornaliera viene somministrata nell’arco di una settimana (in 2-3 somministrazioni). Il monitoraggio della terapia continua con test di stimolazione con ACTH. Si consiglia di effettuare il test di stimolazione con ACTH dopo la fase d’induzione, dopo un mese dall’inizio del periodo di mantenimento, poi ogni 3-6 mesi, a meno che non si verifichino problemi quali la ricomparsa della sintomatologia ascrivibile alla sindrome di Cushing o sintomi d’ipocortisolismo o altri effetti collaterali. Per la lisi completa della corteccia surrenalica il farmaco deve essere somministrato per 25 giorni continuativi alla dose di 50-75 mg/kg (100 mg/kg nei cani di piccola taglia) suddivise in tre o quattro dosi sempre insieme all’alimento, per ridurre i problemi a carico del tratto gastro-intestinale che possono verificarsi. Il farmaco deve essere somministrato giornalmente per il primi 5 giorni e poi a giorni alterni. Il terzo giorno ha inizio la terapia sostitutiva con cortisone acetato (2 mg/kg die) (in alternativa prednisolone) e fludrocortisone acetato (0,0125 mg/kg die), entrambi preferibilmente divisi in due somministrazioni giornaliere. Dopo il 25° giorno si esegue una visita di controllo e la dose di cortisone acetato/prednisolone può essere ridotta a 0,5-1,0 mg/kg al giorno. Il soggetto deve quindi essere trattato a vita come un addisoniano. |
Gli effetti indesiderati possono verificarsi poco dopo la somministrazione per le alterazioni a carico del tratto gastro-intestinale e sono caratterizzati da nausea, vomito, diarrea, oppure possono essere dovuti alla carenza di glucocorticoidi temporanea o ipoadrenocorticismo persistente, con una sintomatologia simile al primo gruppo di effetti collaterali: vomito, diarrea, debolezza, atassia e non sempre è facile distinguere le due situazioni.
Oggi l’utilizzo del mitotane si è ampiamente ridotto, viene utilizzato nella terapia medica dei tumori surrenalici (protocollo con distruzione completa della ghiandola) o nel caso in cui il trilostano non possa essere utilizzato.
Il ketoconazolo è un derivato dell’imidazolo ed è un antimicotico. Tuttavia, ad elevate dosi, il farmaco ha effetti anche sulla biosintesi degli steroidi, determinando una soppressione della secrezione del cortisolo. L’elevato costo del farmaco, l’inefficacia evidenziata nel 20-25% dei soggetti e la necessità di doverlo somministrare due volte al giorno, ha limitato l’utilizzo del ketoconazolo nel trattamento dell’ipercortisolismo.
| Protocollo di utilizzo del ketoconazolo |
| La dose iniziale è di 5 mg/kg due volte al giorno per sette giorni; in assenza di modificazioni dell’appetito ed ittero si può incrementare la dose raggiungendo i 10 mg/kg. E’ riportato tuttavia che dosi inferiori a 15 mg/kg possano determinare un effetto insufficiente, mentre un dosaggio elevato (30 mg/kg) sopprima in modo più adeguato l’iperattività della corteccia surrenalica, ma è spesso associato allo sviluppo di effetti indesiderati. Si sceglie, di solito, di somministrare dosaggi che non inducano effetti collaterali, quindi al di sotto dei 30 mg/kg. |
TERAPIA DELL’ADH
In corso di ADH è possibile procedere con il trattamento di tipo chirurgico, effettuando quindi una surrenalectomia della ghiandola colpita dalla neoplasia. Tuttavia, prima dell’intervento chirurgico è indispensabile valutare se il soggetto sia un buon candidato per la chirurgia. E’ importante valutare la pressione arteriosa; infatti, l’ipercortisolismo determina ipertensione in più del 50% dei soggetti ed il rapporto proteine urinarie/creatinina risulta spesso aumentato. Un marcato aumento di tali parametri potrebbe indicare un elevato rischio di tromboembolismo. Per lo stesso motivo è consigliabile assicurarsi che la concentrazione sierica dell’antitrombina III non sia inferiore alla norma.
Durante l’intervento chirurgico e nelle prime sei ore del post-operatorio è importante supplementare il soggetto con 0,05-0,1 mg/Kg di desametasone per via endovena. Lo stesso dosaggio deve essere ripetuto 2 o più volte durante la giornata dell’intervento. Nei giorni seguenti lo stesso dosaggio deve essere somministrato BID o TID per via sottocutanea fino a quando l’animale non sia in grado di passare ad una assunzione per via orale senza rischio di vomito.
Il trattamento di tipo chirurgico è sconsigliato nel caso in cui la diagnostica per immagini abbia evidenziato una massa neoplastica palesemente inoperabile o la presenza di metastasi a carico di altri organi. In questi soggetti è possibile procedere con la terapia medica descritta precedentemente e nonostante la terapia con trilostano risulti efficace, è preferibile optare per la terapia con l’adrenolitico mitotane (protocollo di lisi completa della corteccia surrenalica) .
Bibliografia
