[{{{type}}}] {{{reason}}}
{{/data.error.root_cause}}{{{_source.displayDate}}}
{{/_source.showDate}}{{{_source.description}}}
{{#_source.additionalInfo}}{{#_source.additionalFields}} {{#title}} {{{label}}}: {{{title}}} {{/title}} {{/_source.additionalFields}}
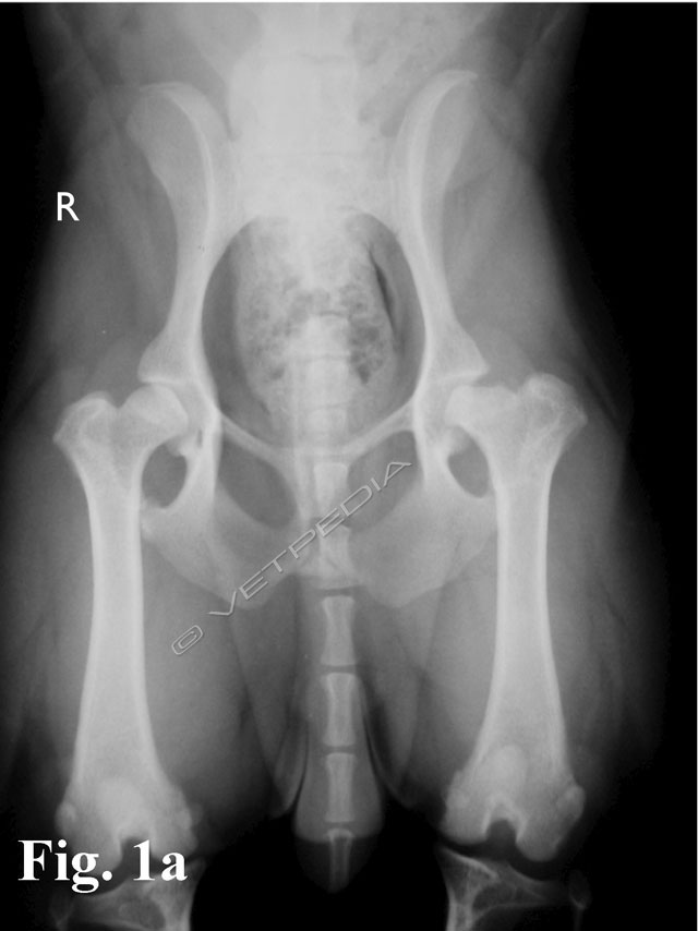
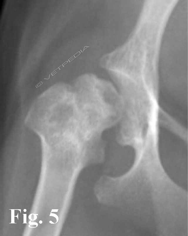
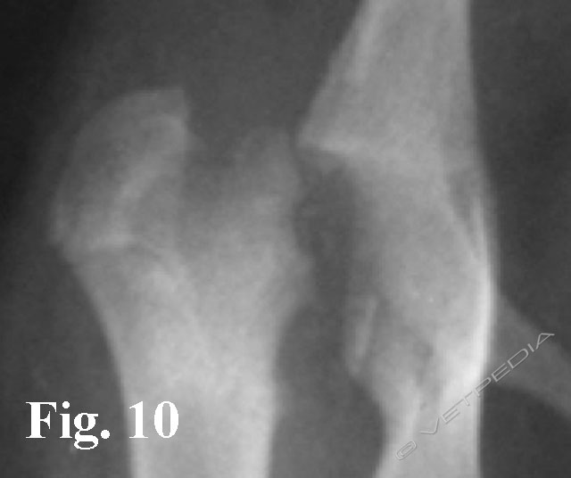
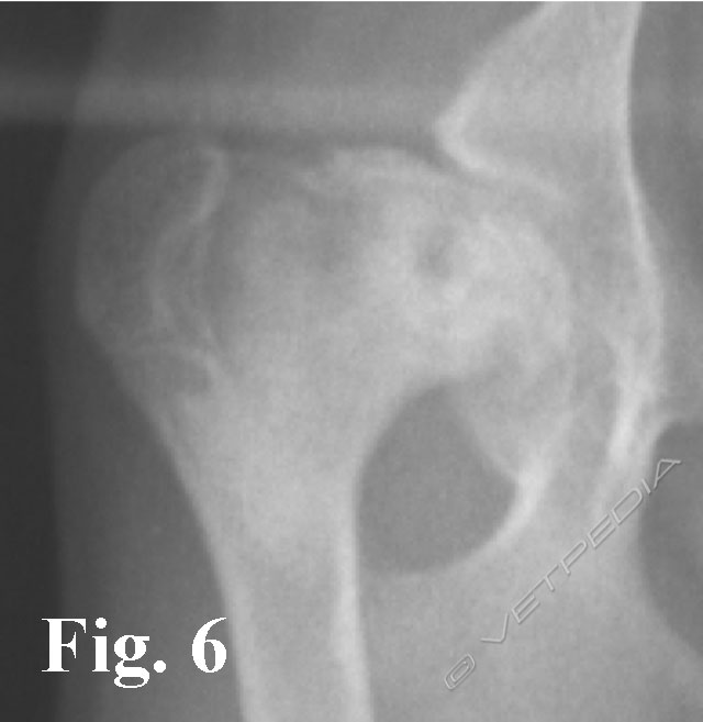
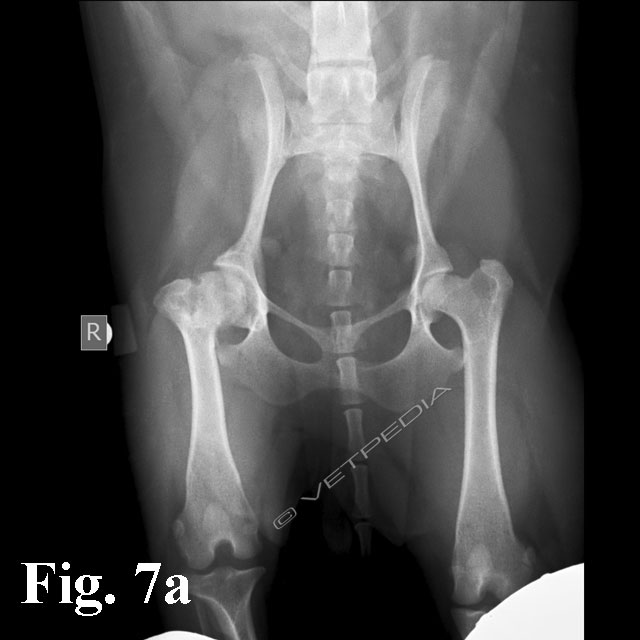
{{/_source.additionalInfo}}La necrosi asettica della testa del femore è anche denominata malattia di Legg Calvè Perthes e necrosi avascolare della testa del femore. Si tratta di un'affezione ortopedica coinvolgente l’articolazione coxofemorale di cani di razza toy o di piccola taglia durante il periodo dell’accrescimento, ad interessamento più frequentemente monola
I contenuti di VETPEDIA sono riservati. Effettua LOGIN o REGISTRATI!
