[{{{type}}}] {{{reason}}}
{{/data.error.root_cause}}{{{_source.displayDate}}}
{{/_source.showDate}}{{{_source.description}}}
{{#_source.additionalInfo}}{{#_source.additionalFields}} {{#title}} {{{label}}}: {{{title}}} {{/title}} {{/_source.additionalFields}}
{{/_source.additionalInfo}}L'osteocondrite dissecante delle testa omerale (OCD) è una manifestazione di osteocondrosi, coinvolgente l’articolazione scapolomerale, in particolare la porzione caudale della testa omerale, che comporta il sollevamento e distacco di un lembo osteocondrale con conseguente esposizione di osso subcondrale; si verifica in cani appartenenti a razze di taglia medio-grande-gigante, durante il periodo dell’accrescimento. L’OCD della spalla è causa di zoppia anteriore di grado variabile, con interessamento più frequentemente bilaterale. Tra tutte le forme di osteocondrite dissecante, quella della spalla presenta la prognosi migliore.
EZIOPATOGENESI
Per osteocondrosi (OC) s’intende un difetto dell’ossificazione encondrale, responsabile della crescita in lunghezza delle ossa lunghe. L’osteocondrosi sembra presentare un’eziopatogenesi di tipo multifattoriale, dove diversi fattori predisponenti e scatenanti agiscono simultaneamente nel determinismo dell’affezione: sovralimentazione, iperintegrazione, fattori genetici, eccessivo movimento associato ad eccessivo peso corporeo, rapida crescita. In corso di osteocondrosi le cellule della cartilagine di accrescimento metafisaria ed epifisaria non si differenziano correttamente e non subiscono il normale processo di calcificazione ed ossificazione; pertanto la cartilagine continua a crescere e diviene più spessa e meno resistente agli stress meccanici.
In caso di osteocondrite dissecante (OCD) si verifica una fissurazione nella parte ispessita della cartilagine ed il sollevamento di un lembo osteocondrale, seguito dall’esposizione di osso subcondrale (Fig. 1). Il movimento eccessivo o i microtraumi derivanti dalla normale attività fisica possono determinare il distacco completo del lembo osteocondrale, che diviene corpo libero articolare. Quest’ultimo può andare incontro a destini differenti: molto raramente può riassorbirsi, può dislocarsi nel fondo cieco caudale (cul di sac) o prossimalmente nella doccia bicipitale. Il lembo può accrescersi e calcificare traendo nutrimento dalla vascolarizzazione sinoviale e divenire visibile radiograficamente (Fig. 2). Il contatto del liquido sinoviale con l’osso subcondrale scatena un insieme di reazione biochimiche e biologiche che porta alla formazione di sinovite, momento in cui generalmente si osservano i primi sintomi clinici. Anche il lembo osteocondrale quando diviene corpo libero può svolgere un’azione continua d’irritazione e divenire concausa dello sviluppo di sinovite. Il difetto cartilagineo viene riparato dalla formazione di fibrocartilagine. 
EPIDEMIOLOGIA
L’OCD della testa dell’omero si manifesta in cani in accrescimento, appartenenti a razze di taglia medio-grande-gigante, tra i 5 ed i 12 mesi di età, con un picco di incidenza più elevata tra i 6/7 mesi e con una maggior predisposizione per gli animali di sesso maschile. Le razze maggiormente colpite sono rappresentate dal Border Collie, Dogue de Bordeaux, Cane corso, Setter inglese, Bracco tedesco, Alano, Rhodesian Ridgeback, Boxer, Terranova, Retriever, Bovaro del bernese, Schnautzer, Pastore tedesco, Pastore belga, Rottweiler, Dalmata.
SEGNI CLINICI
L’OCD della spalla è causa di zoppia anteriore di grado variabile, con insorgenza generalmente improvvisa. Nella maggior parte dei casi la condizione ortopedica presenta un interessamento bilaterale, ma la zoppia può interessare maggiormente un arto e rendersi per nulla o poco manifesta a carico dell’arto controlaterale, mentre può coinvolgere in pari grado entrambe le articolazioni e manifestarsi con un’andatura rigida ed incerta su entrambi gli arti anteriori, con il cane che cerca di incedere galoppando su entrambe le zampe anteriori. Nei casi in cui la zoppia si manifesta in modo poco evidente, è quasi sempre possibile osservare una sottrazione parziale del carico dell’arto affetto quando il cane è in stazione. Generalmente l’entità del segno clinico è correlata all’estensione e gravità della lesione osteocondrale.
ITER DIAGNOSTICO
Alla visita ortopedica apprezziamo algia all’esecuzione dei movimenti passivi dell’articolazione. Con il cronicizzarsi della lesione osserviamo un diverso grado di ipomiotrofia dei muscoli della spalla. Il sospetto diagnostico emesso dalla visita clinica viene confermato mediante l’esecuzione di uno studio radiografico dell’articolazione della spalla. Per emettere una diagnosi è generalmente sufficiente eseguire una proiezione medio-laterale della spalla, avendo l’accortezza di esercitare una trazione sulla zampa in modo da scostare l’articolazione dalla sovrapposizione radiografica dello sterno. Considerando la frequente bilateralità della lesione, è doveroso eseguire un controllo dell’arto contro laterale, in modo da non trascurare quelle lesioni ancora clinicamente asintomatiche o paucisintomatiche. L’esame radiografico evidenzia un difetto del profilo del terzo caudale della testa omerale (Fig. 3). In alcuni casi è possibile visualizzare il lembo osteocondrale sollevato ma ancora in sede (vedi Fig. 1), in altri casi si può osservare solo un aumento della radiotrasparenza dell’osso subcondrale, più o meno esteso. Alcune forme iniziali di osteocondrosi (OC), non ancora evolute in osteocondrite dissecante (OCD), si manifestano radiograficamente come dei piccoli appiattimenti del profilo tondo della testa omerale, senza modificazioni della densità omogenea sub condrale (Fig. 4).
La corretta diagnosi di queste forme iniziali ci consente di indirizzare il paziente verso un approccio chirurgico o conservativo. In caso di diagnosi di OC, è consigliabile monitorare radiograficamente la lesione, con controlli a distanza di circa 2/3 settimane, in modo da valutarne l’evoluzione: guarigione spontanea versus formazione e sollevamento del lembo osteocondrale. Nei casi in cui la lesione è localizzata medialmente, la proiezione medio-laterale neutra potrebbe non consentirci di evidenziare il difetto osteocondrale o di sottostimarne l’estensione (Fig. 5a). E’ consigliabile a tal proposito eseguire una proiezione medio-laterale con rotazione esterna dell’arto, in modo da esporre al fascio radiogeno tangente anche le lesioni localizzate nel comparto mediale (Fig. 5b). Un’altra evenienza è rappresentata dalla migrazione del lembo osteocondrale che, come precedentemente accennato, nei casi più fortunati potrebbe andare incontro a riassorbimento spontaneo oppure comportarsi da “topo” o “tofo” articolare (Fig. 6). La sede dove più frequentemente tende a localizzarsi è rappresentata dal recesso caudale dell’articolazione (vedi Fig. 2), in casi meno fortunati potrebbe migrare nel comparto craniale, più precisamente nella doccia bicipitale, e determinare un’irritazione meccanica al tendine del muscolo bicipite brachiale. In quest’ultimo caso i sintomi dipenderanno dallo sviluppo di una tenosinovite bicipitale.
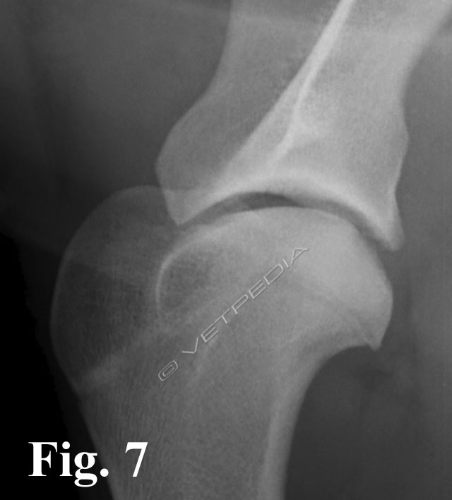
Con il cronicizzarsi della lesione si osservano fenomeni riparativi irregolari a carico del difetto osteocondrale, seguiti dalla formazione di osteofiti a livello della porzione caudale della testa omerale e della glena caudale (Fig. 7).

TERAPIA
La terapia dell’OCD della spalla è prevalentemente chirurgica e prevede l’asportazione del lembo osteocondrale ed il trattamento del fondo della lesione. Quest’ultimo consiste nella riattivazione del fondo quando scleorotico, mediante osteostissi, utilizzando un punteruolo dedicato ed eseguendo dei fori penetranti l’osso subcondrale a distanza di qualche millimetro l’uno dall’altro, in modo da favorire la vascolarizzazione della lesione e l’esposizione di elementi cellulari mesenchimali (Fig. 8a e b). In presenza di fibrocartilagine ripartiva, essa dovrà essere preservata, in quanto manifestazione di una iniziale guarigione. La terapia dell’OCD di spalla può essere eseguita per via artroscopica o tramite chirurgia tradizionale. Recentemente è stato proposto l’uso di trapianti autologhi di cartilagine ed osso subcondrale per lesioni di grandi dimensioni e con prognosi meno favorevole. Il trapianto viene prelevato dal labbro trocleare del femore distale, area di facile accesso mediante miniartrotomia, e soprattutto parte articolare non sottoposta al carico ponderale. L’uso di questa metodica trova notevole applicazione e può essere considerata una svolta nella terapia dell’OCD del ginocchio. Il trattamento conservativo deve essere proposto nei casi di OC iniziale, avendo cura di monitorare il caso fino alla guarigione spontanea della lesione.
PROGNOSI
Come riportato nella definizione, l’OCD della spalla è la manifestazione di osteocondrosi con prognosi migliore nel cane. Il recupero funzionale dopo la terapia chirurgica è generalmente molto buono. Eventuali recuperi non soddisfacenti si possono osservare in casi di lesioni di grosse dimensioni trattate tardivamente o in casi con presenza di numerosi lembi liberi di difficile rimozione.
Bibliografia
